درنیامدن دندان عقل چه عواقب و مشکلاتی دارد؟
به جرات میتوان گفت دندان عقل معروفترین دندانها است. اکثر افراد با کشیدن، جراحی، نهفتگی یا حتی نکشیدن آن درگیر شدهاند.

این دندان پر دردسر معمولاً با افزایش سن رشد میکند. حتماً برای شما هم این سؤال پیش آمده که چرا همه دندان عقل ندارند؟ آیا در آمدن یا در نیامدن دندان عقل خللی در سلامت دندانها ایجاد میکند؟
دندان عقل
آیا میدانید چرا دندان عقل را به این اسم، نامگذاری کردند؟ سن رشد این دندان بین ۱۷ تا ۲۵ سالگی میباشد به همین علت هم دندان عقل نام گرفته است. این دندان که سومین دندان آسیا در دهان است در قوس فکی قرار میگیرد و آخرین دندان دائمی است که در دهان انسان رشد میکند. دندان عقل ۴ عدد است که ۲ عدد آن در فک پایین و ۲ عدد آن در فک بالا رشد میکنند.
گاهی اوقات افراد مجبور میشوند هنگام ارتودنسی برای مرتب کردن و حرکت دادن دندانها، دندان عقل را بکشند. در حال حاضر به دلیل تغییر شرایط محیطی، کوچک شدن فکها و تغییر رژیمهای غذایی ما جا برای ۲۳ دندان خود هم نداریم به همین علت هم در شرایطی مانند ارتودنسی مجبور میشویم دندان عقل را جراحی کنیم تا فضای کافی برای مابقی دندانها به وجود آید. جالب است که بدانید دندانهای عقل معمولاً ۸۱ سالگی به بعد رشد میکنند.
چرا بعضی از افراد دندان عقل ندارند؟
دندان عقل معمولاً بهصورت نهفته، نیمه نهفته یا روییده است حتی امکان دارد اصلاً وجود نداشته باشد یا در هر طرف دهان بیش از یک عدد دندان عقل رشد کند. برای رویش این دندان فک باید فضای خالی کافی داشته باشد. اگر دندان فضای مناسبی را پیدا نکند بهصورت نهفته یا نیمه نهفته باقی میماند.
اگر دندان عقل بهطور کامل و در جای خود رشد کند به کشیدن احتیاج ندارد اما معمولاً بهصورت نهفته یا نیمه نهفته در میآید و شخص دچار التهاب و تورم میشود، احساس میکند بوی دهان بدی دارد یا هنگام خوردن غذا دندانهایش درد میگیرند؛ در این شرایط دندان عقل باید کشیده یا جراحی شود.
معمولاً دندانهای نیمه نهفته مشکلات بیشتری را برای افراد ایجاد میکنند.
دندانهای نهفته هم به دلیل راشیتیسم، کم خونی، بیماریهای دوران کودکی یا دلایل ارثی ایجاد میشوند حتی میتواند در طولانی مدت مشکلات حادتری را به وجود آورند به همین علت هم باید جراحی شوند.
آیا باید نگران دندان عقل باشیم یا نه؟
اگر دندان عقل ندارید اصلاً نگران نباشید. این موضوع کاملاً طبیعی است. در حال حاضر در نیامدن دندان عقل یک اتفاق شایع است حتی باید خوشحال باشید زیرا از دردسرهای آن نجات پیدا کردهاید.
از مشکلات شایع در نیامدن دندان عقل میتوان به موارد زیر اشاره کرد:
پوسیدگی
عفونت
فشردگی دندانهای مجاور
حفره و کرم خوردگی
دشواری در کشیدن نخ دندان
تشکیل کیست
آسیب به دندانهای دیگر
بیماری لثه
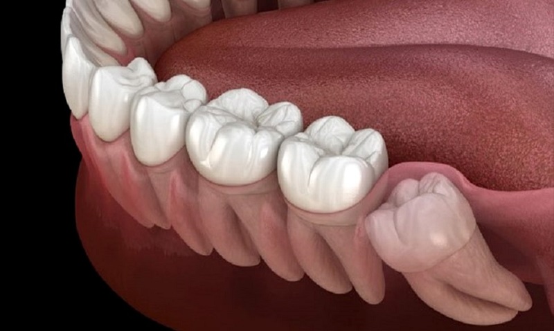
دندان عقل به چه شکلهایی رشد میکند؟
امکان دارد مانند سایر دندانها عمودی و منظم رشد کند.
امکان دارد نسبت به دندانهای دیگر زاویه دار باشد.
احتمال دارد به سمت پشت دهان رشد کند.
امکان دارد به سمت دندان زاویه دیگر رشد کند.
بهترین سن برای جراحی دندان عقل چه سنی است؟
بهترین سن زیر ۲۰ سال است زیرا شخص درد کمتری را احساس میکند و دچار عوارض کمتری میشود. با افزایش سن ریشهها قطورتر میشوند به همین علت کشیدن دندان سختتر است. اگر افراد در سنین بالا به دنبال جراحی دندان عقل خود باشند احتمالاً بعد از کشیدن، دندانهای مجاور دچار پوسیدگی میشوند یا احتمال شکسته شدن استخوان به وجود میآید. اگر سن شما بالای ۴۰ سال است و هیچ مشکلی با دندان عقلتان ندارید به دنبال خارج کردنش نباشید.
مشاوره آنلاین دندانپزشکی
در نهایت فراموش نکنید که دندان عقل بیشتر از اینکه مفید باشد مضر است به همین علت هم امکان دارد دندان پزشک توصیه کند آن را از دهانتان خارج کنید پس در این صورت برای حفظ سلامت بقیه دندانهایتان هم که شده این کار را انجام دهید. دلیل شایع خارج کردن دندان عقل "پوسیدگی" است اما گاهی اوقات به دلیل زیبایی هم شخص مجبور به خارج کردن دندان عقل میشود. برای اطمینان از حفظ یا کشیدن دندان عقل و پیدا کردن بهترین راه حل حتما از مشاوره دندانپزشکی استفاده کنید.
ارسال نظر