نتایج جستجو :
-
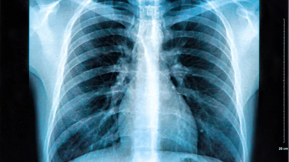
پیشبینی خطر مرگ با استفاده از هوش مصنوعی
محققان سیستمی ساختهاند که میتواند از روی یک اسکن پرتو ایکس خطر سکته یا حمله قلبی در ۱۰ سال آینده بیمار را تشخیص دهد.
محققان سیستمی ساختهاند که میتواند از روی یک اسکن پرتو ایکس خطر سکته یا حمله قلبی در ۱۰ سال آینده بیمار را تشخیص دهد.