نتایج جستجو :
-
شیوع یک بیماری اسرارآمیز بین کودکان زیر ۱۰ سال چند کشور + علایم
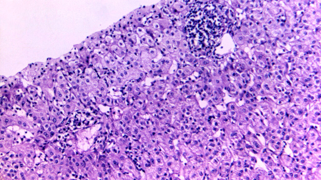
هپاتیت یا التهاب کبد ناشی از عوامل ویروسی میتواند بر توانایی کبد در سوختوساز مواد مغذی و تصفیه خون اثر بگذارد.
هپاتیت یا التهاب کبد ناشی از عوامل ویروسی میتواند بر توانایی کبد در سوختوساز مواد مغذی و تصفیه خون اثر بگذارد.